Skip to content
23115838
尖沙咀彌敦道96號美敦大廈6樓B室
馬上預約
0
購物車
主頁
馬上預約
訂造鞋墊 (包括足部力學檢查)
脊骨神經科治療及保健
伸展及運動治療
服務-足部。保養
足部力學檢查
長短腳
訂造腳托
即製熱塑訂造鞋墊
服務-脊部。保養
Pillow-Fit MASTER 量身訂製枕頭
脊柱側彎矯形腰背架
脊柱側彎超聲波掃瞄評估
團隊成員
足脊資料館
腳形問題及足部痛症
扁平足/寬扁足
內八字腳/入字腳
後足外翻
足底筋膜炎
後跟痛 (腳踭/腳跟痛)
拇趾外翻
脊骨問題及相關痛症
椎間盤突出
腰痛 (腰背痛)
兒童的足部變化與成長
「足」「脊」文章庫
關於足部。文章分享
關於脊部。文章分享
資訊及運動影片庫
足脊資訊
紓緩痛症運動
社區互動及媒體
驗腳活動及講座
活動花絮
媒體報導及資訊專欄
網上商店
聯絡我們
馬上預約
主頁
馬上預約
訂造鞋墊 (包括足部力學檢查)
脊骨神經科治療及保健
伸展及運動治療
服務-足部。保養
足部力學檢查
長短腳
訂造腳托
即製熱塑訂造鞋墊
服務-脊部。保養
Pillow-Fit MASTER 量身訂製枕頭
脊柱側彎矯形腰背架
脊柱側彎超聲波掃瞄評估
團隊成員
足脊資料館
腳形問題及足部痛症
扁平足/寬扁足
內八字腳/入字腳
後足外翻
足底筋膜炎
後跟痛 (腳踭/腳跟痛)
拇趾外翻
脊骨問題及相關痛症
椎間盤突出
腰痛 (腰背痛)
兒童的足部變化與成長
「足」「脊」文章庫
關於足部。文章分享
關於脊部。文章分享
資訊及運動影片庫
足脊資訊
紓緩痛症運動
社區互動及媒體
驗腳活動及講座
活動花絮
媒體報導及資訊專欄
網上商店
聯絡我們
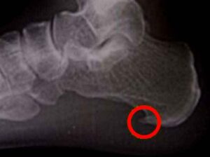
腳跟骨刺
香港足脊檢查中心
>
後跟痛 (腳踭/腳跟痛)
>
腳跟骨刺
發表回覆
取消回覆
你的電郵地址並不會被公開。
必要欄位標記為
*
Δ
×
ZH
EN
ZH
查詢及預約時間